The skilled cosmetic dentists at Lake District Family Dentistry have helped people throughout Alexandria, Pineville, attain amazing smile makeover results. Through cosmetic and restorative dentistry, Lake District Family Dentistry can enhance any patient’s smile.
We take the time to listen to our patients’ needs, preferences, and goals before planning any treatments at our practice. Whether it is a combination of cosmetic options for a total smile makeover, or a single treatment such as teeth whitening, Invisalign orthodontics or dental bonding, Lake District Family Dentistry personalizes your treatment plan to help you achieve the results you desire. We have helped many people throughout Alexandria, including Paradise and Pineville, with smile makeover plans customized to meet their specific needs and goals. View the before-and-after images below featuring just a sampling of our satisfied patients and the amazing transformations created by our cosmetic dentist.
Before & Afters
Bridges
Full Mouth Rehabilitation
Resins
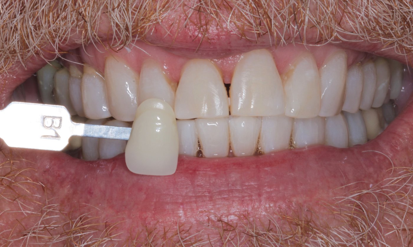
Porcelain Crowns
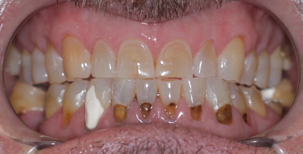
Before

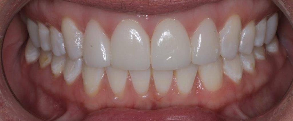
After

Before

After






























































